Успішної роботи
Пацієнтів прийшли за рекомендацією
Стоматологів
Задоволених клієнтів
Высокие гарантии качества на протяжении всего периода эксплуатации наших брекет-систем.
| Металлические | Керамические Акция! |
Сапфировые Акция! |
Эстетические самолигир. Акция! | DAMON (Даймон) | DAMON (Даймон эстет) |
|---|---|---|---|---|---|
| 7500 грн* | 10 000 грн* | 12 500 грн* | 15 000 грн* | 15 000 грн | 20 000 грн |
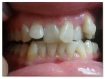
Красивая и ослепительная улыбка – это Ваш главный козырь, чтобы расположить к себе человека. Это визитная карточка, которая станет залогом успеха Вашего бизнеса и повседневной жизни. Многие люди не любят улыбаться, причины бывают разные, но довольно часто — это неровные зубы. Неровные зубы и неправильный прикус могут стать причиной психологических проблем, а также различных комплексов.
В нашей клинике, проводится ортодонтическое лечение взрослым и детям на высоком уровне с использованием современных материалов и оборудования.
Ортодонтическое лечение нормализирует смыкание зубных рядов, восстанавливает функциональное состояние зубочелюстной системы, а также гармонию лица.
Ортодонтической лечение можно проводить в любом возрасте. Однако следует учитывать, что с возрастом организму сложнее воспринимать лечение, а также восстанавливаться после этого лечебного процесса.
Посещать врача-ортодонта нужно с раннего возраста. В этот период достаточно легко корректировать зубочелюстную систему – расширить или затормозить рост, тем самым предотвратите возможные возрастные изменения.
Неправильно расположенные зубы, также могут нести дополнительные проблемы со здоровьем, помимо эстетических недостатков. В промежутках между зубами образуются камни и неправильные зубодесневые карманы, ведущие к воспалению десен — пародонтиту.
Это становиться причиной образования микробов и бактерий, которые через полость рта проникают в желудочно-кишечный тракт, и часто являются причиной многих хронических заболеваний.
Исправление прикуса благоприятно влияет и на форму лица. По окончанию лечения Вы можете заметить улучшения профиля лица, формы скул и подбородка.
В основном в ортодонтии используются различные пластинки и брекет-системы.

Пластинки – это съемные аппараты, которые, как правило, устанавливаются детям в период роста челюстей. Пластины используются для профилактики и коррекции деформаций зубного ряда в случаях с инфантильным глотанием, закусыванием и сосанием губ, сосанием пальцев. Применяются они в молочном и сменном прикусе. В зависимости от конструкции носятся только в ночное время или 24 часа в сутки.

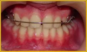
Брекет-система – это набор из множества замочков, приклеиваемых на зубы, имеющих пазы, в которые вставляется металлическая дуга. Изначально дуге задается гармоничная для данного зубного ряда форма, и после наложения дуги на зубы она начинает к этой форме стремиться, вытягивая за собой зубы. Дуга изготавливается из специальных материалов с так называемой “памятью формы”. Периодически Вам нужно будет посещать доктора для активации дуги. Как правило, “носится” брекет-система 1,5-2 года для достижения результата.
Брекеты абсолютно безвредны для Вас. С их помощью Вы можете исправить прикус в любом возрасте. Огромным плюсом является то, что процесс выравнивания происходит постоянно без усилий с Вашей стороны. Брекет-система не влияет на Вашу речь, а также процесс приёма пищи, что немало важно для повседневного комфорта.
Ми передзвонимо найближчим часом та зорієнтуємо за вартістю лікування. Якщо зорієнтувати проблетматично без первинної консультації, запропонуємо зручний час консультації до потрібного фахівця.
Заповніть форму, щоб отримати план лікування та розрахунок вартостіiii
Каждый человек хотя бы раз в своей жизни сталкивался с лечением зубов. Совсем недавно это была довольно неприятная и болезненная процедура. Однако современная стоматология предлагает […]
Не каждый согласится ставить брекеты для выравнивания зубов — изменение эстетического вида улыбки является самым распространенным страхом пациентов. Но однажды, одно изобретении изменило всю ортодонтию. […]
Кариес зубов – самое распространенное заболевание из тех, что знает стоматология. Но когда речь идет о детях, кариес становится настоящим бедствием, поскольку прочно лидирует среди всех […]
Copyright 2010 – 2022. Стоматологія Позняки “DV-DENT”