Успішної роботи
Пацієнтів прийшли за рекомендацією
Стоматологів
Задоволених клієнтів
Консультация специалиста по тел. (095) 229-40-78
На базе нашей клиники работает собственная лаборатория по изготовлению зубных протезов, что является залогом высоких гарантий качества и попадания в цвет в 100% случаев. Индивидуальный подход к каждому клиенту, европейское качество изделий!






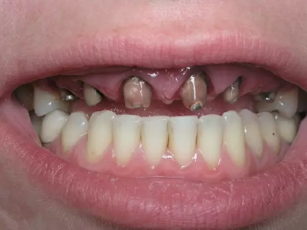
Клиника «ДВ-Дент» рекомендует применять съемные зубные протезы при полной утрате зубов, что не позволяет зафиксировать в ротовой полости несъемную конструкцию, либо при частичной утрате одного или нескольких жевательных.

Чаще всего применение таких конструкций как съемные зубные протезы оптимально в случае утраты трех и более рядом стоящих зубов. Помимо этого, они незаменимы в случаях запущенного пародонтита, при котором зубы становятся подвижными и не способными стать основой для крепления несъемных конструкций.
Съемные зубные протезы практически не имеют противопоказаний, гарантируют комфорт в эксплуатации и эстетичность улыбки, позволяют при необходимости в любой момент вынуть протез изо рта. Сегодня используются условно съемные, частично съемные и полные съемные виды подобных протезов, позволяя подобрать необходимое каждому человеку.
Нейлоновые протезы предоставляют возможности для имитации не только зубов, но и слизистой оболочки полости рта. Отныне съемные протезы могут быть совсем неощутимыми во рту, поскольку современные гибкие материалы способны успешно справиться с многочисленными неудобствами.
Нейлоновые протезы обладают массой неоспоримых преимуществ:
• Гибкие и мягкие, они не царапают десна.
• Нейлон является современным полимерным материалом, способным выдерживать серьезные нагрузки, что обеспечивает прочность протезу.
• Протезы из нейлона надежно приклеиваются в необходимое место десны.
• Гипоаллергенный нейлон весит намного меньше пластмассы.
• Не подвержены деформациям.
• Подходят для ослабленных десен, которые исключают применение металлокерамики или прессованной керамики.
• Оптимальные для ношения детьми в процессе временного использования.
ДВ-Дент: съемные зубные протезы хорошего качества по доступным ценам!
Ми передзвонимо найближчим часом та зорієнтуємо за вартістю лікування. Якщо зорієнтувати проблетматично без первинної консультації, запропонуємо зручний час консультації до потрібного фахівця.
Заповніть форму, щоб отримати план лікування та розрахунок вартостіiii
При ношении брекетов стоит особое внимание уделять питанию, гигиене полости рта и прочим нюансам. Кариес начинается с появлением бактерий на эмали, которые называются стрептококки. Эти […]
По своей сути зубной кaмень, этo твердый и прочный зубной налет, образующийся на зубах и в поддесневых пространствах в результате плохой гигиены полости рта. Он […]
Зубные пластинки — специальное ортодонтическое устройство, используемое с целью коррекции нарушения расположения зубов и проблем с зубным прикусом. Сегодня неправильный прикус можно встретить у многих […]
Copyright 2010 – 2022. Стоматологія Позняки “DV-DENT”