Успішної роботи
Пацієнтів прийшли за рекомендацією
Стоматологів
Задоволених клієнтів
В нашей стоматологии мы предоставляем большой выбор методов лечения зубов. Но бывают ситуации, когда зуб спасти невозможно, в этом случае мы обращаемся к хирургии. Унывать в этой ситуации не стоит. На сегодняшний день возможности стоматологии максимально эффективны и проводятся на высшем уровне. Поэтому такие процедуры проходят безболезненно, а также помогают избежать проблем в будущем.
Хирургическое вмешательство необходимо, если:
– ваш зуб сильно разрушен кариесом, его невозможно восстановить и пролечить консервативно;
– зуб подвижен;
– произошел перелом коронки или корня;
– зуб является причиной большой кисты, источником инфекции в организме, воспаления нерва;
– растет неправильно либо существует задержка прорезывания зуба;
– зуб травмирует слизистую полости рта;
Не удаляя зуб, возможно, провести хирургическую операцию по устранению околокорневых очагов инфекции с сохранением зуба (очагами инфекции могут быть – гранулема, кистогранулёма, киста, гнойные воспаления: субпериостальный абсцесс – по народному – “флюс”), а также операцию на слизистой оболочке полости рта или операцию по лечению пародонтита “подвижности зубов “.
Существует также ряд причин, при которых удаление зубов противопоказано:
– заболевания сердечно-сосудистой системы;
– инфаркт миокарда;
– нарушения свертывания крови;
– ОРВ (острые респираторные вирусные заболевания);
– психозы, эпилепсия;
– гипертоническая болезнь;
– ишемическая болезнь сердца;
– гемангиома зуба;
– злокачественная опухоль зуба;
– ангина;
– острый стоматит;
– гингивит.
В этих случаях удаление становится возможным только после того, когда состояние стабилизируется. В нашей клинике, мы учитываем особенности каждого нашего пациента.
Процесс удаления зуба в обязательном порядке происходит при местной анестезии. Стоматолог – хирург использует анестетики артикаинового ряда, расфасованные в одноразовые картриджи. С их помощью, отключается болевая чувствительность целой группы зубов. Для того чтобы удалить зуб, который прочно укреплен в кости, сначала его необходимо расшатать. Когда зуб достаточно расшатан, он легко вытягивается. Во время самой процедуры вы будете чувствовать давление, потому что для расшатывания зуба врачу нужно будет приложить усилия. Но вы не будете ощущать никакой боли, потому что действие обезболивающего блокирует нервные окончания. Если зуб имеет сложную форму, вам предложит рассечение зуба. Это совершенно обычная процедура, при которой зуб рассекается на фрагменты и каждый фрагмент удаляется в отдельности.
После тяжелого удаления, из-за значительных травм, пациент может столкнуться с осложнением, называемым сухая лунка. Это потеря под каким-либо внешним воздействием сгустка крови, который образовывается на месте удаления и необходим для заживления. В случае его отсутствия процесс заживления значительно замедляется.
Также требуется хирургическое вмешательство при кистогранулёме зуба.
Гранулема и киста представляет собой пузырь, наполненный жидкостью. Эти образования постепенно увеличиваются за счет накопления жидкости внутри. Порой жидкость находит выход и на десне появляется конусообразное возвышение, из вершины которого выделяется гной. Сами собой эти образования не исчезнут. Следует вычистить и перепломбировать канал. Иногда приходится производить операцию по удалению кисты. Прогноз всегда благоприятный – костная ткань регенерирует и пустота зарастает .
Отличной профилактикой кисты, и не только ее, но и всех заболеваний зубов, будут регулярные походы к стоматологу. Диагностируют это заболевание с помощью рентгена зубов, который необходимо делать раз в год.
Зуб мудрости

Многие из нас знают, что такое, когда режется зуб мудрости. Как правило, он прорезывается у взрослых людей в возрасте от 20 до 25 лет. А когда зубу мудрости не остается места на челюсти, он прорезывается только частично.
Осложнения, возникающие при прорезывании зубов мудрости:
1- одним из самых частых заболеваний является кариес. Режущийся зуб смещает соседний, тем самым закрывая доступ для зубной щетки к некоторым его участкам, скапливающийся в таких местах налет и может стать причиной развития кариеса;
2- при неправильном прорезывании зуба мудрости на нижней челюсти может развиться нарушение прикуса. Потому что увеличение плотности зубов нижней челюсти неумолимо влияет на зубы верхней – они разъезжаются;
3- если зуб мудрости прорезался только частично и его часть находится под десной, в создавшемся десневом кармане могут скапливаться остатки пищи, из-за чего десна воспалится, если вовремя не обратиться к стоматологу, может случиться перикоронорит. Эта болезнь сопровождается болями, температурой и еще массой неприятных ощущений. Лечить это заболевание нужно по предписанию врача полосканиями или, при запущенных стадиях, хирургическим вмешательством – удалением зуба;
4- в случаях, когда зуб мудрости не может прорезаться, он может стать причиной головных болей, болей в области груди, лицевых болей, невралгических синдромов.
Хирургическая стоматология уделяет значительное внимание зубосохраняющим операциям, к которым можно отнести удаления всякого рода новообразований в костных или мягких тканях ротовой полости, ампутации корней зубов, коронко-радикулярные сепарации, а также различные методики лечения заболеваний пародонта. Наиболее распространенные новообразования ротовой полости – корневые, или радикулярные кисты.
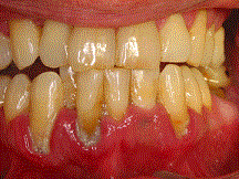
Хирургическое лечение пародонтоза и пародонтита
Зубосохраняющими операциями являются все хирургические методики лечения заболеваний пародонта. Все они направлены на укрепление зубов, устранение очагов инфекции и реабилитацию больных с этой сложной проблемой.
Существует множество консервативных способов лечения пародонтоза и пародонтита, но очень часто без хирургической стоматологии не обойтись.
Пародонтоз рано или поздно приводит к потере всех здоровых зубов, плюс к этому велика вероятность присоединения вторичной инфекции, которая негативно действует не только на зубочелюстную систему, но и на весь организм в целом.
Если пародонтоз является результатом нарушения обмена веществ и проявляется атрофией костной ткани альвеолярного отростка и нарушением зубодесневого соединения, то при пародонтите все вышеперечисленные изменения возникают в результате воспалительного процесса, в основе которого лежит присоединение инфекции. Одонтогенная инфекция способна вызвать массу осложнений: синуситы, лимфадениты, абсцессы, флегмоны и т.д.
Кроме того, существует вероятность разноса инфекции гематогенным (с током крови) и лимфогенным (с током лимфы) путем по всем органам и тканям.
Терапевтическая часть лечения этих заболеваний сводится к устранению воспаления, хирургическая стоматология удаляет очаги инфекции и патологически измененных тканей, что создает благоприятные условия для регенерации костных и мягких тканей.
Хирургическая стоматология – имплантация зубов.

Современным разделом хирургической стоматологии является имплантация. Часто необходимы подготовительные операции, позволяющие сформировать нужную высоту и толщину альвеолярного отростка, в который планируется ввести имплант.
После удаления зубов ткани не испытывают нагрузки при жевании и начинают атрофироваться, установка импланта в этой области альвеолярного отростка становится невозможной. В таких случаях применяют методики наращивания костной ткани собственной или искусственной костью. Процесс заживления после таких операций длится от четырех месяцев и дольше. Приступать к имплантации раньше этого срока противопоказано.
В нашей клинике зубной техник может установить высококачественные протезы зубов, как альтернативу зубным имплантам.
Ми передзвонимо найближчим часом та зорієнтуємо за вартістю лікування. Якщо зорієнтувати проблетматично без первинної консультації, запропонуємо зручний час консультації до потрібного фахівця.
Заповніть форму, щоб отримати план лікування та розрахунок вартостіiii
Несмотря на широкую доступность различных средств информации, все еще около 90% жителей нашей страны не имеют представления о настоящих причинах возникновения заболеваний зубов и ротовой […]
По своей сути зубной кaмень, этo твердый и прочный зубной налет, образующийся на зубах и в поддесневых пространствах в результате плохой гигиены полости рта. Он […]
Прорезывание молочных зyбов у детей в норме пpоисходит с полугодa и к пяти-шести годам , они начинают выпадать. Возможно из-зa этого факта, родители зачастую не […]
Copyright 2010 – 2022. Стоматологія Позняки “DV-DENT”