Успішної роботи
Пацієнтів прийшли за рекомендацією
Стоматологів
Задоволених клієнтів
Высокие гарантии качества на протяжении всего периода эксплуатации наших брекет-систем.
| Металлические | Керамические Акция! |
Сапфировые Акция! |
Эстетические самолигир. Акция! | DAMON (Даймон) | DAMON (Даймон эстет) |
|---|---|---|---|---|---|
| 7500 грн* | 10 000 грн* | 12 500 грн* | 15 000 грн* | 15 000 грн | 20 000 грн |
В нашей клинике используются различные виды брекет-систем.
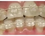
Металлические брекеты

Металлические брекеты – считаются самыми прочными и· лечение с их помощью, как правило, самое быстрое, в том числе из-за минимальной силы трения между пазом брекета и дугой. С металлическими брекетами вы можете выбрать более темные лигатуры, на которых не заметны следы пищевых красителей и налет от табачного дыма. Однако Вы должны учитывать, что металлические брекеты достаточно «заметные».
Керамические брекеты

Керамические брекеты имеют более эстетический вид – они подбираются индивидуально под цвет ваших зубов. Данный вид брекетов устойчив к пищевым красителям, однако лигатуры все равно окрашиваются. Помниет, что проблема окрашивания лигатур не так серьезна – они ·меняются во время каждого посещения ортодонта.
Керамические брекеты, по себестоимости немного выше металлических. И сам процесс лечения более долгосрочный. Для многих пациентов – это более комфортный вид лечения.
Сапфировые брекеты

Сапфировые брекеты представляют из себя монокристалл искуственного сапфира. Благодаря своей структуре они обладают отличной прочностью и не окрашиваются. Этот вид брекетов менее всего заметен, если у вас белые зубы. Если ваши зубы имеют желтоватый оттенок, то керамические брекеты будут лучшим выбором. Существует и заметный эстетический эффект сапфировых брекетов: они не только мало заметны на зубах, но и имеют свойство сверкать на ярком прямом свете. Сапфировые брекеты обычно на порядок дороже, чем металлические и керамические.
Лингвальные брекеты

Лингвальные брекеты, в отличие от традиционных брекет-систем, устанавливаются на внутреннюю (язычную, лингвальную) поверхность зубного ряда, поэтому их практически не видно со стороны. Некоторые виды патологий прикуса (например, «глубокий прикус» ) лучше всего лечатся на этой системе, именно благодаря внутреннему расположению брекетов. Основным достоинством этих брекетов является ·максимальная эстетичность, и их практически не видно.
Ми передзвонимо найближчим часом та зорієнтуємо за вартістю лікування. Якщо зорієнтувати проблетматично без первинної консультації, запропонуємо зручний час консультації до потрібного фахівця.
Заповніть форму, щоб отримати план лікування та розрахунок вартостіiii
Детская стоматология — некоторые причины неправильного прикуса1) Дыхание Врачи могут констатировать разрастание у малыша миндалин, если ребенок страдает от насморков и ангины, причиной которой может стать […]
Із самої назви “безметалова кераміка” вже логічно випливає, що у такої конструкції відсутній металевий каркас. Але вам необхідно знати, що при цьому використовується досить міцна […]
Импланты — искусственные, преимущественно титановые конструкции, которые служат заменой отсутствующих зубов. Чаще всего стоматолог устанавливает корневидные импланты, но бывают случаи использования других видов. Виды имплантов: […]
Copyright 2010 – 2022. Стоматологія Позняки “DV-DENT”