Успішної роботи
Пацієнтів прийшли за рекомендацією
Стоматологів
Задоволених клієнтів

Аппарат Вектор (Vector) – это новейший и уникальный прибор, в основе работы которого лежит ультразвук. С помощью этого аппарата возможно проводить профилактику и лечение различных форм пародонтита.
Узнать подробнее о преимуществах Вектор-терапии Вы можете здесь

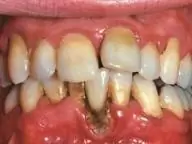
Вы столкнулись с тем, что Ваши знакомые и близкие при общении с Вами стараются держаться на расстоянии или прямо говорят, что у Вас неприятный запах изо рта? К сожалению, в этой ситуации Вам не помогут жевательные резинки и ополаскиватели.
Вам необходимо обратить внимание на состояние десен. Как правило, причиной неприятного запаха изо рта, помимо кариеса, может оказаться болезненный процесс в тканях, окружающих зуб, то есть в пародонте. Многие также считают, что кровоточивость десен вполне нормальное явление и пытаются справиться с ними щадящей чисткой зубов. Но и неприятный запах, и кровоточивость десен – это первые признаки серьезного заболевания, воспалительного процесса в пародонте.
Пародонтология – это раздел стоматологии о диагностике, профилактике и лечении пародонта.
Главной причиной болезней десен является зубной налет, который при недостаточно тщательной гигиене полости рта может перерастать в зубной камень. Также, причинами развития этого заболевания становиться неправильный и вовремя неисправленный прикус или же неправильный подбор зубного протеза.
Пока воспаление ограничивается только десной, мы имеем дело с гингивитом, который характеризуется болью и кровоточивостью десен во время чистки зубов или во время приема пищи. Как только воспаление преодолевает зубодесенное соединение и проникает в подлежащие ткани – на периодонт и альвеолярную кость, заболевание переходит в пародонтит. Зубы становятся подвижными, а механическая нагрузка на зубы при жевании оказывается травматичной. Если вовремя не приступить к лечению, воспалительный процесс приведет к расшатыванию и выпадению зубов.
Наша клиника предлагает Вам эффективные методы профилактики и борьбы заболеваний десен. А также комплексное лечение пародонтита. Каждый случай для нас индивидуален, поэтому подходы к лечению могут быть различные.
Хирургический метод в комплексном лечении развившихся форм патологии пародонта остается одним из ведущих.
К хирургическому вмешательству прибегают при среднетяжелых и тяжелых формах пародонтита, сопровождающихся наличием глубоких патологических карманов, деструктивными изменениями альвеолярного отростка, явлениями абсцедирования.
Наряду с такими методами, как открытый кюретаж, лоскутные операции, гингивэктомия широко применяем методику направленной регенерации (мембранная технология) с использованием композитных материалов на основе гидроксиапатитов.
Сам процесс лечения парадонтоза проходит в несколько этапов:
Первый этап – ликвидация местных причин: удаление зубных отложений с помощью ультразвукового скалера, которая идеально внедряет эти требования в практику. Снятие нависающих краев пломб, устранение травматических супраконтактов, замена неполноценных протезов.
Второй этап – это проведение специфической медикаментозной терапии для повышения реактивности организма, физиологических функций, улучшения обменных процессов.
Далее устраняются окклюзионные нарушения в зубочелюстной системе после снятия воспаления. Дизокклюзия является отягощающим фактором при воспалительных процессах в тканях пародонта. В ряде случаев окклюзионная травма может послужить пусковым механизмом для возникновения микроциркуляторных нарушений в связочном аппарате пародонта.
Ещё одним важным моментом является – иммобилизация подвижных зубов с помощью шинирования. В качестве арматуры используют материалы на основе неорганической матрицы стекловолокна.
Большое значение в нашей клинике уделяется профессиональной гигиене рта пациента, а также обучению правильному гигиеническому уходу за полостью рта. После комплекса подготовительных мероприятий пациент готов к операции. Хирургическое лечение с использованием мембран улучшает структурное и функциональное состояние тканей пародонта, вызывает репаративную регенерацию костной ткани.
Доказано, что мембранная технология способствует нормализации кровотока в тканях пародонта путем уменьшения тонического напряжения и периферического сопротивления сосудистой системы, улучшения ее эластических свойств. Это, в свою очередь, обусловливает стабилизацию процесса.
Правильно поставленный диагноз, обоснованное планирование комплекса лечебных мероприятий, тщательная подготовка пациента к хирургическому лечению, адекватная реабилитационная терапия гарантируют на длительное время ремиссию процесса в пародонте.
Ми передзвонимо найближчим часом та зорієнтуємо за вартістю лікування. Якщо зорієнтувати проблетматично без первинної консультації, запропонуємо зручний час консультації до потрібного фахівця.
Заповніть форму, щоб отримати план лікування та розрахунок вартостіiii
Зубные пластинки — специальное ортодонтическое устройство, используемое с целью коррекции нарушения расположения зубов и проблем с зубным прикусом. Сегодня неправильный прикус можно встретить у многих […]
Із самої назви “безметалова кераміка” вже логічно випливає, що у такої конструкції відсутній металевий каркас. Але вам необхідно знати, що при цьому використовується досить міцна […]
Кариес зубов – самое распространенное заболевание из тех, что знает стоматология. Но когда речь идет о детях, кариес становится настоящим бедствием, поскольку прочно лидирует среди всех […]
Copyright 2010 – 2022. Стоматологія Позняки “DV-DENT”