
За своєю суттю зубний камінь, це твердий і міцний зубний наліт, що утворюється на зубах і в піддесневих просторах внаслідок поганої гігієни ротової порожнини. Він складається з дрібних залишків їжі та бактерій. Виходячи з цього, можна зробити висновок, що зубний камінь є першопричиною більшості захворювань ясен, таких як гінгівіт і пародонтит, а також самих зубів, – карієс і його ускладнених форм, таких як пульпіт і періодонтит.
Итак, уточним все заболевания и опасности связанные с образованием зубного камня.Гингивит
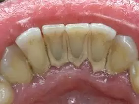
При недостаточной гигиене полости рта и самих зубов, зубной налет кальцифицируется и преобразовывается в камень. Отвердевший налет оседает под десны, в результате этого десна отслаивается от поверхности зуба на несколько миллиметров и образуется так называемый патологический карман. В свою очередь, бактерии зубного камня вызывают воспаление десен, что приводит к болевым ощущениям, кровоточивости, покраснению и припухлости десен. Так же появляется неприятный запах изо рта, как следствие разложения продуктов распада жизнедеятельности бактерий присутствующих в камне.Лечение кариеса
Как мы уже отметили, зубные отложения на 95% состоят из вредоносных бактерий, которые скапливаются в полости рта. Если своевременно не удалять и не очищать зубы и десна от этого образования, то бактерии выделяя особую кислоту, способствуют разрушению эмали зубов, что приводит к образованию кариозных полостей, как под камнем возле десен, так и на других поверхностях зуба. Кариес в свою очередь может приобретать осложненную форму, такую как пульпит. В этом случае жизнеспособность зуба нарушается, так как происходит воспаление пульпы (нерва) и ее необходимо удалять. В следствии такой манипуляции зуб становиться не живым, а это в свою очередь нарушает его трофику и приводит к его функциональной хрупкости. После этого, он может быть удален. Для его замены используют протезирование зубов.Пародонтит
Следующая, осложненная форма гингивита, пpоявляется в том, что зубной камень опускаясь вдоль зуба все ниже в десневой карман, способствует рассасыванию кости. Как следствие, зуб начинает шататься и в конечном итоге выпадает.
В плане профилактики заболеваний десен, необходимо посещение стоматолога не реже чем два раза в год. При обнаружении зубного налета и камня, рекомендовано его удаление методом ультразвуковой чистки.
Copyright 2010 – 2022. Стоматологія Позняки “DV-DENT”